Tescan SOLARIS X™ 2
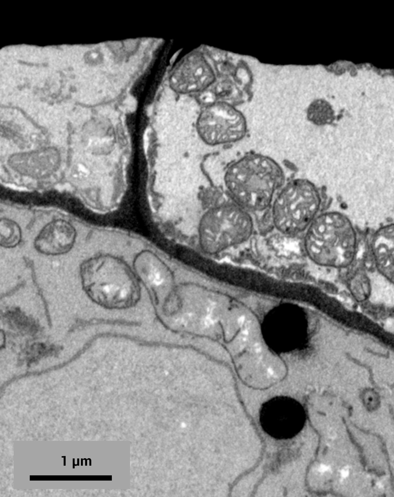
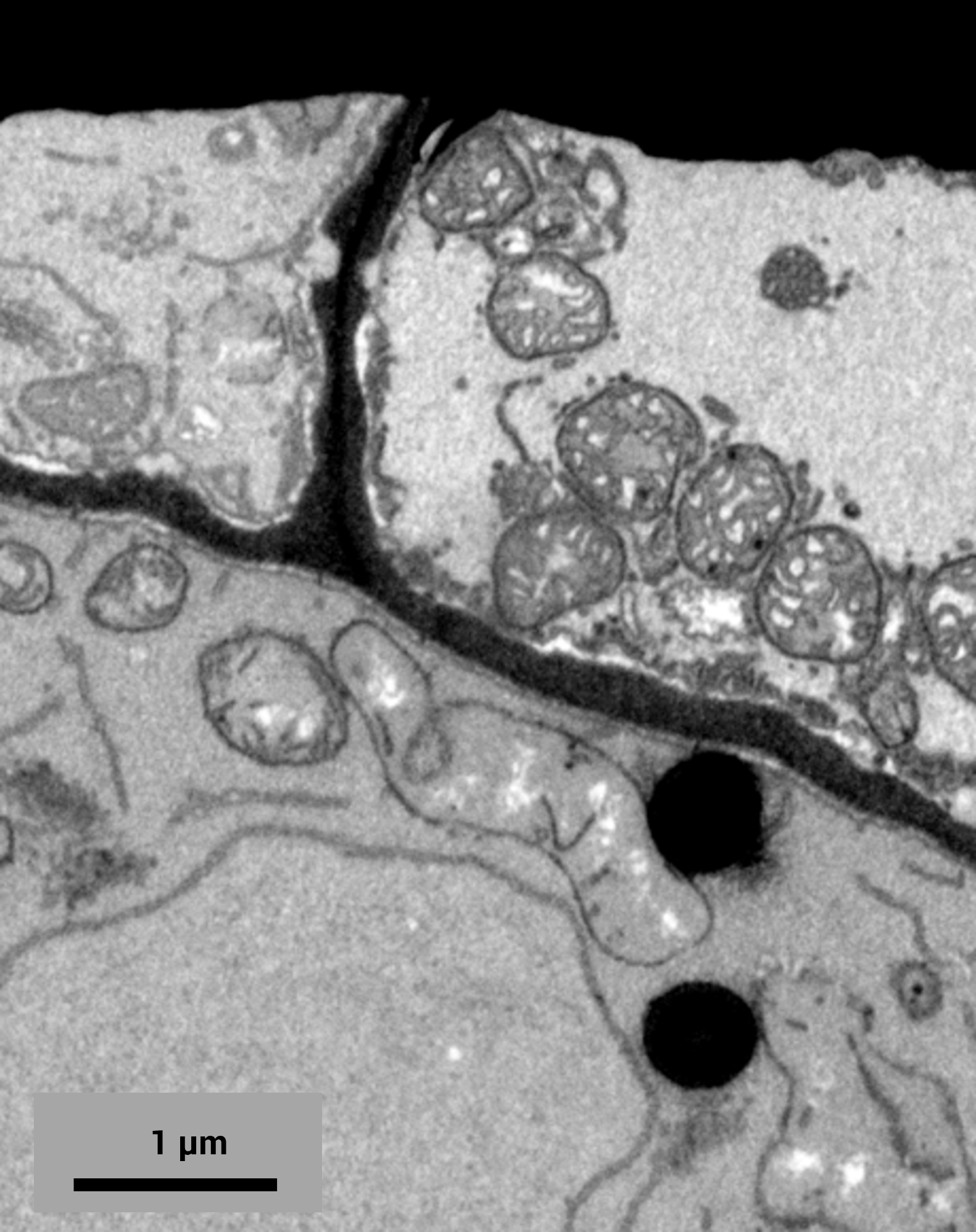
Tescan Xe Plasma FIB-SEM enables high-resolution imaging, large-volume processing of resin-embedded plant tissue for structural analysis of phloem cells and transport pathways.
You can image sieve plates, plasmodesmata, and organelles in situ without manual sectioning, avoiding the compression and distortion associated with traditional slicing.
Wide-area plasma milling and automated acquisition give you the scale and precision needed to study delicate biological structures in full 3D.
-
Mistral™ Xe plasma FIB: allows you to remove material evenly without compressing or distorting biological tissue
-
Dedicated In-beam Tescan low-energy BSE detector: gives you high contrast for visualizing cellular boundaries and ultrastructure
-
Automated tomography workflow: lets you acquire consecutive slices with minimal setup or manual adjustment
-
3D reconstruction across cell layers: helps you reveal full transport pathways and spatial cell organization
-
Tescan Volume Analysis Software: 3D vizualisation and segmentation






